Este dispositivo tecnologico novedoso ( gadget ) acompanado de una mercadotecnia publicitaria, que lo muestran como inofensivo , practico , funcional y novedoso, realmente tiene sus riesgos
«Un problema de salud que va en aumento»
Motivo de consulta : Male de 24a que acude por tener un cuadro clinico de tres dias de evolucion con dolor en hombro derecho que se incrementa al acostarse, de tal manera que refiere que en los ultimos tres dias ha dormido sentado.


Se interroga por el uso de drogas, y refiere la familia que vapea hachis desde hace 1 mes
Ademas refiere Tos seca y en una ocasion presento esputo con sangre
Solo despues de un interrogatorio intencionado pude sacar a la luz esa informacion, porque la familia no pensaba que el uso del “vapeador” estuviera provocando el problema , y por lo tanto no lo habia mencionado la familia.
Le comento a la familia, que las microemulsiones inhaladas al vapear hachis ( THC, cannabinoides, acetato de Vitamina A ) causan irritacion química de las bases pulmonares , inclusive puede causar inflamacion de la pleural basal diafragmatica, y por lo tanto tener un dolor referido a hombro, como en este caso ( ya que el origen del Nervio frenico ( C3, C4, C5 ), es el mismo origen de los nervios que dan inervacion de la piel de la region supraclavicular y musculos del hombro , de tal manera que el cerebro puede interpretar que el dolor se presenta en hombro, cuando lo que realmente esta irritado es la pleura basal diafgragmatica.
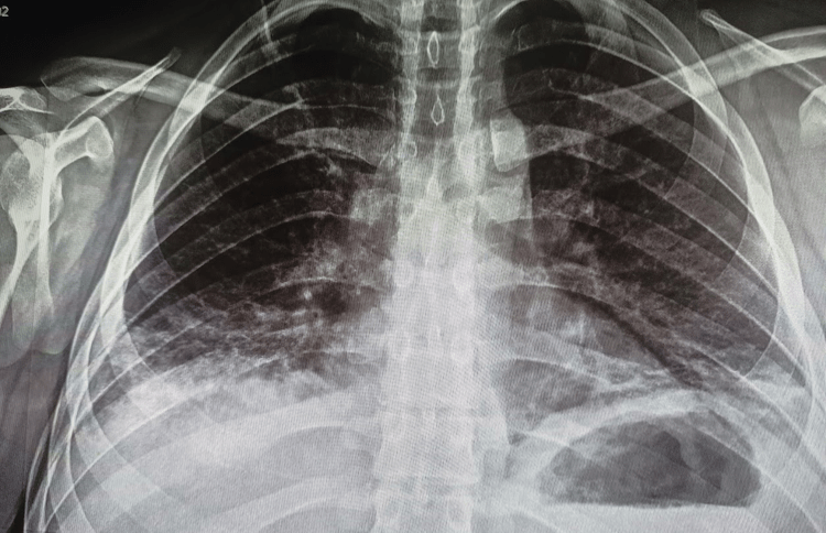
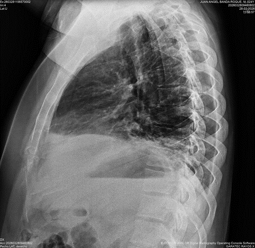
Le solicito una Radiografia y confirmo mi diagnostico. La Radiografia muestra el infiltrado basal pulmonar y pleurits basal derecha, compatible con Neumonía Lipoidea exógena.


El hallazgo característico en CT es que se registran en las áreas inflamadas de predominio basal UH de -30 a – 150
Los patrones en CT son : Areas de consolidación. Patron en vidrio deslustrado. Patron intersticial en empedrado ( crazy-paving ) superpuesto al patron de vidrio deslustrado. Nódulos o masas de bordes irregulares ( algunos de ellos pueden mostrar habitación ) y pueden ser confundidos con Ca pulmonar.
«COMO MEDICOS DEBEMOS ESTAR FAMILIARIZADOS CON ESTA ENTIDAD INDUCIDA POR VAPEADORES PARA PODER DETECTARLA A TIEMPO Y MEJORAR NUESTRA ATENCION»